文档详情

组织与胚胎学实验:结缔组织

汽***
实名认证
店铺
PPT
12.21MB
约25页
文档ID:589205519
组织与胚胎学实验:结缔组织_第1页
1/25

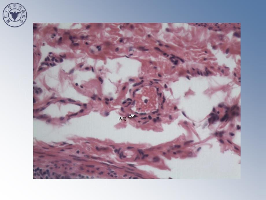
结缔组织结缔组织((Connective tissue))指导教师:李冬梅指导教师:李冬梅 要求切片:1.疏松结缔组织(No.4 铺片 绘图)2.致密结缔组织(No.14 手指皮)3.脂肪组织(No.6 淋巴结) 疏疏疏疏松松松松结结结结缔缔缔缔组组组组织织织织间质间质间质间质纤维:胶原纤维、弹性纤维、网状纤维纤维:胶原纤维、弹性纤维、网状纤维纤维:胶原纤维、弹性纤维、网状纤维纤维:胶原纤维、弹性纤维、网状纤维基质:蛋白多糖、糖蛋白、组织液基质:蛋白多糖、糖蛋白、组织液基质:蛋白多糖、糖蛋白、组织液基质:蛋白多糖、糖蛋白、组织液细胞细胞细胞细胞成纤维细胞成纤维细胞成纤维细胞成纤维细胞固定细胞固定细胞固定细胞固定细胞脂肪细胞脂肪细胞脂肪细胞脂肪细胞未分化间充质细胞未分化间充质细胞未分化间充质细胞未分化间充质细胞巨噬细胞巨噬细胞巨噬细胞巨噬细胞游走细胞游走细胞游走细胞游走细胞浆细胞浆细胞浆细胞浆细胞肥大细胞肥大细胞肥大细胞肥大细胞白细胞白细胞白细胞白细胞疏松结缔组织疏松结缔组织疏松结缔组织疏松结缔组织((((loose connective tissueloose connective tissue)))) LCT:HE X400Collagenous fiber, Elastic fiberFibroblast, Macrophage1.疏松结缔组织(No.4 铺片 绘图) Small intestine:LCT HE X40 Submucosa of small intestine: LCT HE X400 In the section , epidermis is violent stained. Under epidermis,the dermis is pink and compose of denes connective tissue. epidermis dermis 2.致密结缔组织致密结缔组织(No.14 手指皮手指皮) Skin :DCT HE X40 Skin: DCT HE X400 3.脂肪组织脂肪组织(No.6 淋巴结淋巴结) Lymph node: Adipose tissue HE X400 Lymph node: Reticular tissue HE X400示示 教教 Lymph node: Reticular tissue Silver X100 Lymph node: Reticular tissue Silver X400 Mast cells The drawingLoose connective tissue H&E stain 400×MacrophageCollagenous fiberElastic fibersFibroblast 。

下载提示
相似文档
正为您匹配相似的精品文档