文档详情

病理解剖学 局部血液循环二

xzh****18
实名认证
店铺
PPT
4.10MB
约40页
文档ID:50633432
病理解剖学 局部血液循环二_第1页
1/40

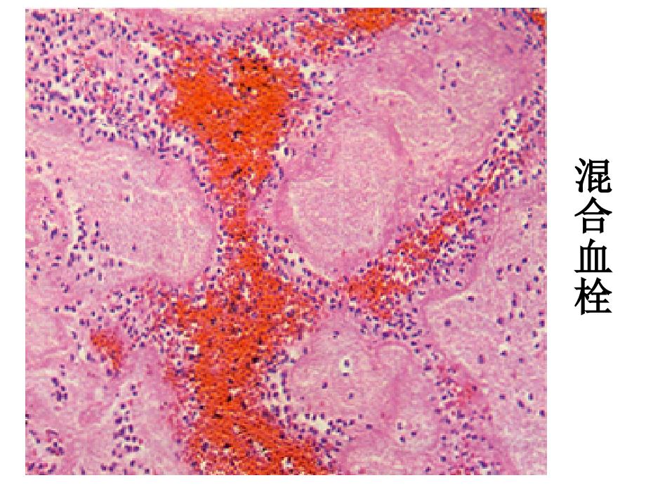
混合血栓• 2、混合血栓 =层状血栓 • 1)过程: • 2)组成:①主要分支状的血小板梁 • ②血小板梁间凝固的血液 • 3)形态: • 镜下: ①淡粉色、无结构的血小板梁 • ②血小板梁的边缘附着较多的• ③白细胞血小板梁间纤维素网 • 网络的血细胞 • 大体: 呈红白相间的条纹状或板层状 • 4)部位: • 2、混合血栓 =层状血栓 • 1)过程: • 2)组成:主要分支状的血小板梁 • 和血小板梁间凝固的血液 • 3)形态: • 镜下: • 大体: • 4)部位:心腔内、动脉瘤内、 • 动脉粥样硬化的溃疡处、 • 和静脉延续性血栓的体部 • 前三个部位的血栓常称为附壁血栓 第三节 血栓形成 thrombosis • 一、概念: • 二、血栓形成的条件和机制 • 三、血栓形成的过程和类型 • (一)过程: • (二)类型: • 1、白色血栓=血小板血栓=析出性血栓: • 2、混合血栓=层状血栓 • 3、红色血栓 • 4、透明血栓• 3、红色血栓=凝固性血栓 • 1)过程: • 2)组成: 血栓形成过程示意图 • 3、红色血栓=凝固性血栓 • 1)过程: • 2)组成:主要由凝固的血液 • 3)形态: • 镜下:纤维素网眼中充满血细胞 • 大体:暗红色, • 早期:湿润、有弹性、与血管不粘连 • 几天后:干燥、无弹性、易碎、易脱落 • 与血管粘连紧密 • 4)部位: • 主要在静脉内 • 组成延续性血栓的尾部。

• 3、红色血栓=凝固性血栓 • 1)过程: • 2)组成:主要由凝固的血液 • 3)形态: • 镜下:纤维素网眼中充满血细胞 • 大体:暗红色, • 早期:湿润、有弹性、与血管不粘连 • 几天后:干燥、无弹性、与血管粘连 • 易碎、易脱落→造成栓塞, • 4)部位: • 主要在静脉内延续性血栓的尾部第三节 血栓形成 thrombosis • 一、概念: • 二、血栓形成的条件和机制 • 三、血栓形成的过程和类型 • (一)过程: • (二)类型: • 1、白色血栓=血小板血栓=析出性血栓: • 2、混合血栓=层状血栓 • 3、红色血栓=凝固性血栓 • 4、透明血栓• 4、透明血栓 = 微血栓 = 纤维素性血栓 • 1)过程:各种原因→ DIC →内、外 • 源性凝血系统↑→微循环广 • 泛性纤维蛋白原→纤维蛋白 • 2)组成:纤维蛋白=纤维素 • 3)形态: • 镜下:呈均质红染、半透明 • 大体: • 4)部位:主要是微循环内的毛细血管 • (弥漫性血管内凝血) 第三节 血栓形成 thrombosis • 一、概念: • 二、血栓形成的条件和机制 • 三、血栓形成的过程和类型 • (一)过程: • (二)类型: • 1、白色血栓=血小板血栓=析出性血栓: • 2、混合血栓=层状血栓 • 3、红色血栓=凝固性血栓 • 4、透明血栓= 微血栓 = 纤维素性血栓第三节 血栓形成 thrombosis• 一、概念: • 二、血栓形成的条件和机制 • 三、血栓形成的过程和类型 • 四、血栓的结局• 四、血栓的结局: • (一)软化、溶解、吸收(脱落) • 纤维蛋白溶解系统 • 白细胞释放 • 小的 • 大的 • (二)机化、再通 • 机化 • 再通:收缩 裂隙 迷路状通道 • (三)钙化 • 未机化的血栓 静脉石 动脉石 机化再通肉芽组织钙化第三节 血栓形成 thrombosis• 一、概念: • 二、血栓形成的条件和机制 • 三、血栓形成的过程和类型 • 四、血栓的结局 五、血栓对机体的影响• 五、血栓对机体的影响 • (一)有利:止血 • (二)不利: • 1、阻塞血管:动脉 • 静脉 • 2、栓塞 • 3、心瓣膜变形 • 4、出血:DIC ③心瓣膜变形:瓣膜上血栓机化所 致。

二尖瓣狭窄、 关闭不全二尖瓣增厚、 缩短第三节 血栓形成 thrombosis• 一、概念: • 二、血栓形成的条件和机制 • 三、血栓形成的过程和类型 • 四、血栓的结局 五、血栓对机体的影响• 血栓与坏死血凝块的区别?三、血栓与坏死血凝块的区别血 栓 死后血凝块 干燥易碎 湿润而有弹性 与心血管壁粘连 否色泽混杂,灰红相间 ,有横行的灰白色波浪 形条纹(血栓尾部为暗 红色) 暗红色,均匀一致, 血凝块的上层浅黄色 ,似鸡脂血管被胀大,饱满 否 第四节 栓塞 embolism• 一、概念: • 在循环的血液中出现不溶于血液的• 异常物质,随血流运行阻塞血管腔的现象称• 为栓塞 栓子• 二、栓子的类型: • 固体、液体、气体• 三、栓子运行的途径: 与血流方向一致 • 1、左心和体循环动脉内的栓子:• 口径相当的动脉分支栓子运行路径与栓塞模式• 2、右心和体循环静脉内的栓子 • 肺动脉主干及其分支 • 3、肠系膜静脉和脾静脉的栓子 • 肝内门静脉分支 • 4、交叉运行 • 5、逆向运行 • 四、栓塞的类型和对机体的影响 • (一)血栓栓塞(最常见) • 1、概念: • 2、类型:栓子运行路径与栓塞模式• 2、右心和体循环静脉内的栓子 • 肺动脉主干及其分支 • 3、肠系膜静脉和脾静脉的栓子 • 肝内门静脉分支 • 4、交叉运行 • 5、逆向运行 • 四、栓塞的类型和对机体的影响 • (一)血栓栓塞(最常见) • 1、概念: • 2、类型:栓子运行路径与栓塞模式• 2、右心和体循环静脉内的栓子 • 肺动脉主干及其分支 • 3、肠系膜静脉和脾静脉的栓子 • 肝内门静脉分支 • 4、交叉运行 • 5、逆向运行 • 四、栓塞的类型和对机体的影响 • (一)血栓栓塞(最常见) • 1、概念: • 2、类型:• 1)肺动脉栓塞 • (1)栓子的来源 • A 、多数来自下肢的深静脉 • B、少数来自盆静脉 • C、偶尔来自右心 • (2)后果(影响) • 大小、数量、心肺功能• ① 栓子小、数量少 、无肺淤血→无影响。

• ② 栓子小、数量少 、有肺淤血 →出血性梗死• ③栓子大、数量多 →肺动脉主干或多个分支• →猝死• 1)肺动脉栓塞 • (1)栓子的来源 • A 、多数来自下肢的深静脉 • B、少数来自盆静脉 • C、偶尔来自右心 • (2)后果(影响) • 大小、数量、心肺功能• ① 栓子小、数量少 、无肺淤血→无影响• ② 栓子小、数量少 、有肺淤血 →出血性梗死• ③栓子大、数量多 →肺动脉主干或多个分支• →猝死• 原因:反射性 痉挛 • TX2、5HT释放→肺血管痉挛 • 急性右心衰竭、肺缺血、 • 左心输出量下降 • 呼吸困难、紫绀、休克 • 2)体循环动脉栓塞 • (1)栓子来源: ①多数左心 • ② 少数动脉 • (2)影响:部位、侧枝(动脉血)、 • 对缺血的耐受性• (二)脂肪栓塞 • 1、概念: • 2、原因:长骨骨折、严重脂肪挫伤、 • 脂肪肝挤压伤、脂肪烧伤 • 3、后果:脂滴大小和数量 • 量少——巨噬细胞吞噬 • 量多——广泛阻塞肺微血管 • 肺水肿、出血、肺不 • 张 • 脂滴直径﹤ ﹤ 20um——左心——全身(脑 )• (三)气体栓塞 • 1、概念: • 2、类型: • 1)空气栓塞 • (1)发生:近心脏的大静脉破裂 • 分娩时 • (2)后果:量 • ① 量少< 100 ml 溶解 • ②量多> 100ml→泡沫状血液→心腔和 • 肺动脉出口→猝死 • 可左心→脑。

下载提示
相似文档
正为您匹配相似的精品文档