文档详情

医学免疫学血细胞图片小测文档资料

re****.1
实名认证
店铺
PPT
3.21MB
约43页
文档ID:585381926
医学免疫学血细胞图片小测文档资料_第1页
1/43

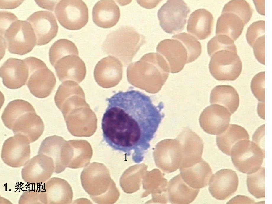
1. 浆细胞浆细胞 1. 原浆细胞原浆细胞 2. 中性杆状核粒细胞中性杆状核粒细胞 有核红细胞造血岛有核红细胞造血岛 1. 中幼红细胞中幼红细胞 2.浆细胞浆细胞 1. 1. 早幼红细胞早幼红细胞 1. 1. 巨噬细胞巨噬细胞 1. 1. 原红细胞原红细胞 1. 1. 早幼红细胞早幼红细胞 1. 1. 成骨细胞成骨细胞2.2.血小板血小板 1. 1. 原始粒细胞原始粒细胞 1. 原单细胞原单细胞1 1. 肥大细胞肥大细胞 1. 中幼红细胞中幼红细胞 2.幼浆细胞幼浆细胞 3.中性杆状核粒细胞中性杆状核粒细胞 1. 原始单核细胞原始单核细胞 1. .小淋巴细胞小淋巴细胞 2幼稚单核细胞幼稚单核细胞 1. 1. 破骨细胞破骨细胞 1. 1. 颗粒型巨核细胞颗粒型巨核细胞 1. 嗜酸性杆状核粒细胞嗜酸性杆状核粒细胞 2. 嗜碱性粒细胞嗜碱性粒细胞 1. 1. 原始单核细胞原始单核细胞 1. 1. 早幼粒细胞早幼粒细胞 2. 2.中性中性中幼粒细胞中幼粒细胞 1. 1. 浆细胞浆细胞 1. 1. 晚幼红细胞晚幼红细胞 2. 2.豪周氏小体豪周氏小体 1. 颗粒型巨核细胞(放大颗粒型巨核细胞(放大100倍)倍) 1. 小淋巴细胞小淋巴细胞 2.中性分叶核粒细胞中性分叶核粒细胞 3.浆细胞浆细胞 1. 1. 浆细胞浆细胞 2. 2. 淋巴细胞淋巴细胞 3. 3.中性杆状核粒细胞中性杆状核粒细胞 1. 1. 中幼红细胞中幼红细胞 2. 2.单核细胞单核细胞 1. 1. 成骨细胞成骨细胞 1. 1. 早幼粒细胞早幼粒细胞 2. 2.晚幼红细胞晚幼红细胞 1. 1. 单核细胞单核细胞 1. 1. 原始淋巴细胞原始淋巴细胞 2. 2.早幼红细胞早幼红细胞 3. 3.中性杆状核粒细胞中性杆状核粒细胞 1. 1. 原单细胞原单细胞 2. 2.中幼红细胞中幼红细胞 1. 1. 原浆细胞原浆细胞 1. 成骨细胞成骨细胞 1. 幼稚单核细胞幼稚单核细胞 2.幼稚巨核细胞幼稚巨核细胞 . .嗜酸性中幼粒细胞嗜酸性中幼粒细胞 2. 2.嗜酸性分叶核粒嗜酸性分叶核粒 3. 3.退化细胞退化细胞 1.早幼粒细胞早幼粒细胞 1.中性杆状核粒细胞中性杆状核粒细胞 2.中性分叶核粒细胞中性分叶核粒细胞 3.大淋巴细胞大淋巴细胞 1. 1.原始红细胞原始红细胞 1.1.小淋巴细胞小淋巴细胞 1.1.大淋巴细胞大淋巴细胞 1.1.嗜酸性晚幼粒细胞嗜酸性晚幼粒细胞 2. 2.中性杆状核粒细胞中性杆状核粒细胞 1.1.原始红细胞原始红细胞 2. 2.中幼红细胞中幼红细胞 3. 3.中性中幼粒细胞中性中幼粒细胞 4. 4.多染性红细胞多染性红细胞 1.1.小淋巴细胞小淋巴细胞 2. 2.嗜酸性中幼粒细胞嗜酸性中幼粒细胞 。

下载提示
相似文档
正为您匹配相似的精品文档