文档详情

冠状动脉解剖及造影对照

jiups****uk12
实名认证
店铺
DOC
1.89MB
约36页
文档ID:39997164
冠状动脉解剖及造影对照_第1页
1/36

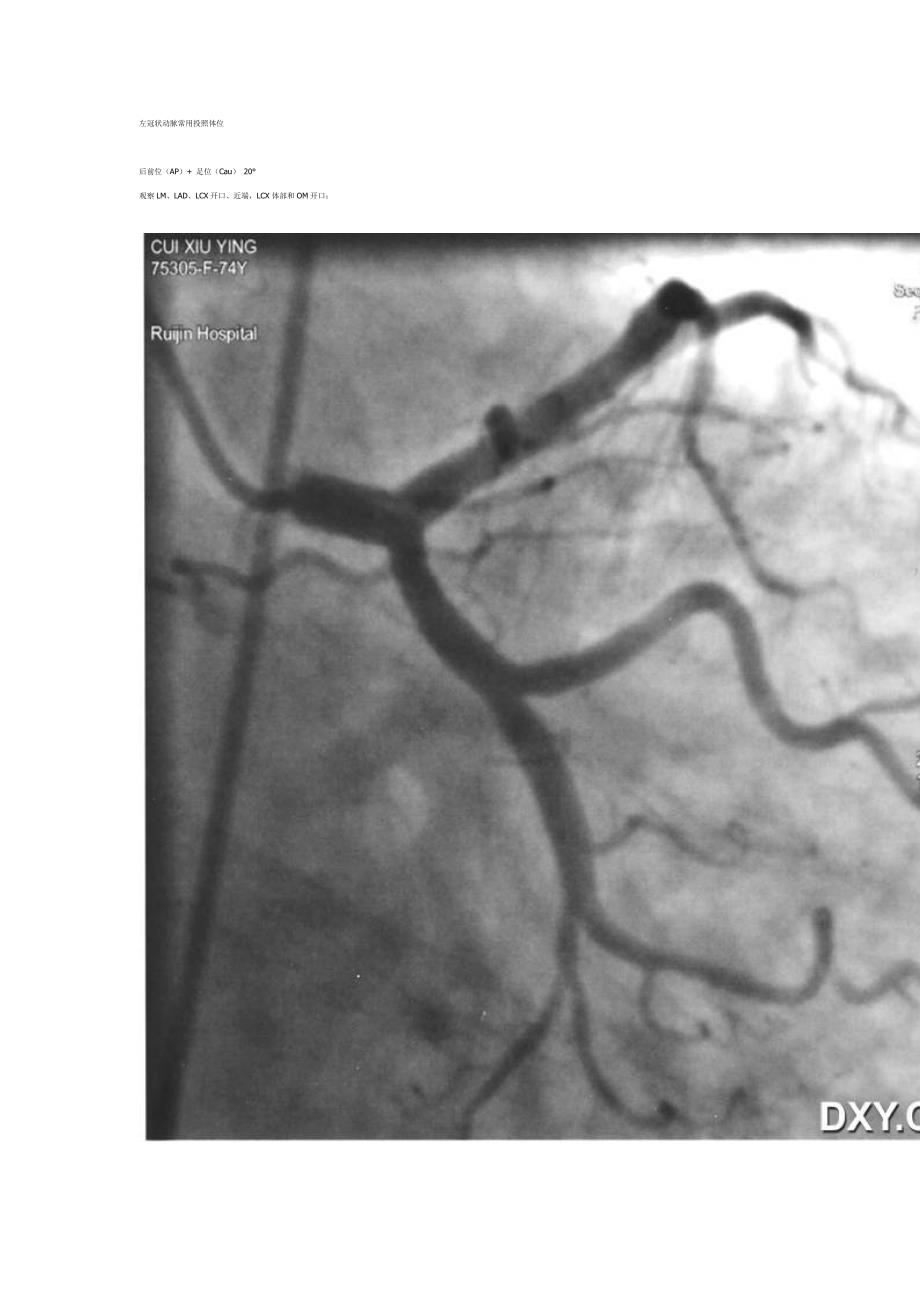
左冠状动脉常用投照体位后前位(AP)+ 足位(Cau) 20°观察 LM、LAD、LCX 开口、近端,LCX 体部和 OM 开口;左冠状动脉常用投照体位正位(AP)+头位(Cra)观察 LAD 近、中段,LAD 与对角支分叉处;观察 LM 开口用于支架定位左冠状动脉常用投照体位右前斜(RAO)30°+足位(Cau)20°(肝位):观察 LAD、LCX 起始部、LCX 全程、钝缘支(OM) 全程左冠状动脉常用投照体位右前斜(RAO)30°+头位(Cra)20°(右肩位)观察 LAD 中、远段左冠状动脉常用投照体位LAO 45°+ Cau 20°(脾位、蜘蛛位):观察 LM、LAD、LCX 开口病变(三分叉) ,LCX 体部、钝缘支(OM)开口和体部冠状动脉投照体位及 X 线解剖左前斜位 60°时,投照从心尖穿过,为心脏的正面观右前斜 30°时,投照垂直通过心脏的长轴,为心脏的侧面观左冠状动脉造影体位一览图右冠状动脉造影体位一览图右冠状动脉常用投照体位左前斜(LAO) 45° 右冠状动脉呈“C”型,观察 RCA 开口、起始部至后降支;The left anterior oblique view (LAO straight) shows the proximal and midportions of the right coronary artery (RCA) as well as the acute marginal branches (AM) and termination of the RCA in the posterior left ventricular branches (PLV). 机位图示意图解剖图右冠状动脉常用投照体位右前位(RAO)右冠状动脉象字母 “L”,观察 RCA 中段;The 30-degree right anterior oblique view (RAO) shows the midportion of the RCA, the conus branch, and the course of the PDA.机位图示意图解剖图右冠状动脉常用投照体位后前位(AP)+ 头位(Cra) 20?右冠状动脉呈“L”型,观察 RCA 远端分支及其开口情况;右冠状动脉常用投照体位左前斜位(LAO)+ 头位(Cra) 20°The 60-degree left anterior oblique view with 25 degrees of cranial angulation (LAO cranial) shows the midportion of the RCA and the origin and course of the posterior descending artery (PDA). 左冠状动脉造影基础体位:LAO 和 RAO实际操作时一般得加头或足,不过理解了这两个体位,再加头或足就好理解了。

LAO机位示意图解剖图解剖造影对比图造影示意图造影图左冠状动脉造影基础体位:RAO机位示意图解剖图解剖造影对比示意图左冠状动脉常用投照体位左前斜(LAO) 45°+ 头位(Cra) 20°-25°观察 LAD 中、远段和对角支开口和全程示意图机位示意图机位造影示意图。

下载提示
相似文档
正为您匹配相似的精品文档