文档详情

磁敏感伪影课件

pu****.1
实名认证
店铺
PPT
11.68MB
约25页
文档ID:576704951
磁敏感伪影课件_第1页
1/25

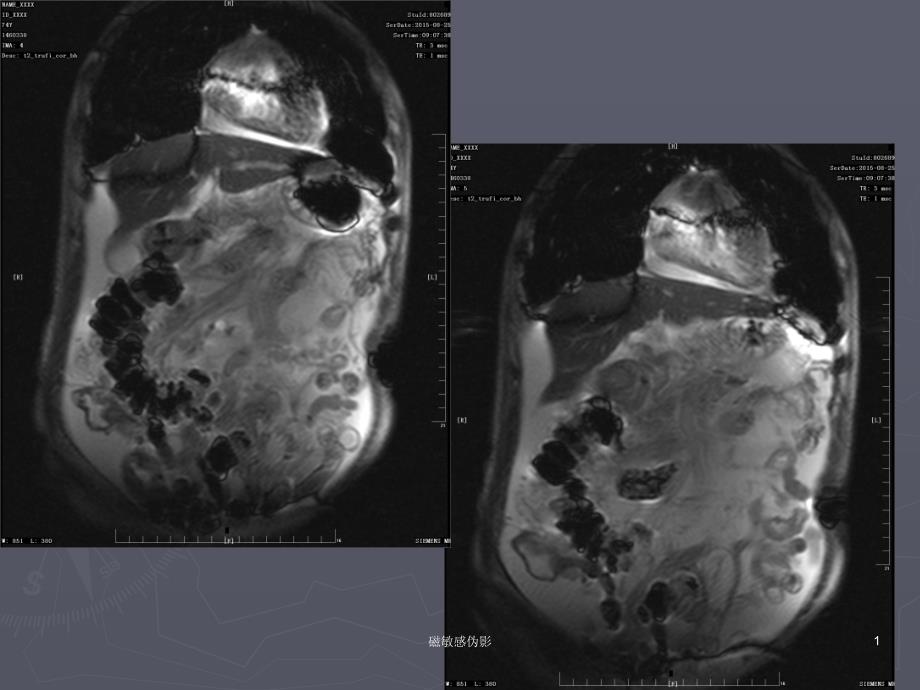
1磁敏感伪影 2磁敏感伪影 3磁敏感伪影 磁敏感伪影 陈海龙陈海龙 2015.09.172015.09.174磁敏感伪影 ►►磁化率是物质的基本特性之一,某种物质的磁化率是指这种物质进入磁场后的磁化强度与外磁场强度的比率►►抗磁性物质磁化率为负值,顺磁性物质的磁化率为正值,一般顺磁性物质的磁化率很低,铁磁性物质磁化率很高►►人体中如骨皮质、肌肉、脂肪、脑组织、肝脏、水基本上是轻度抗磁性的►►空气、组织中的金属离子(如Fe、Mn、Gd)轻度顺磁性的;►►含有铁、钴、镍等固体金属的顺磁性最强,称为铁磁性物质5磁敏感伪影 ►►磁化率伪影(磁敏感伪影)是两种磁化率差别较大的组织界面上,磁场均匀性发生变形,导致氢质子的进动频率改变,加快T2*失相位和信号衰减,在空间上形成MR信号与真实空间位置不匹配,出现的伪影。

表现为局部信号明显减弱或增强,常同时伴有组织变形►►磁敏感伪影分自身磁化率差异伪影和金属附属物伪影6磁敏感伪影 磁敏感伪影具体有以下特点:►►1 1、常出现在磁化率差别较大的组织界面附近,如空、常出现在磁化率差别较大的组织界面附近,如空气与骨间、空气与组织之间等;气与骨间、空气与组织之间等;►►2 2、体内或体外的金属物质特别是铁磁性物质可造成、体内或体外的金属物质特别是铁磁性物质可造成局部磁化率发生显著变化,出现严重的磁敏感伪影;局部磁化率发生显著变化,出现严重的磁敏感伪影;►►3 3、梯度回波序列对磁化率变化敏感,与自旋回波类、梯度回波序列对磁化率变化敏感,与自旋回波类序列相比更容易出现磁敏感伪影,序列相比更容易出现磁敏感伪影,EPIEPI序列的磁敏感序列的磁敏感伪影更为严重;伪影更为严重;►►4 4、、T2WIT2WI或或T2*WIT2*WI的磁敏感伪影较的磁敏感伪影较T1WIT1WI明显7磁敏感伪影 8磁敏感伪影 9磁敏感伪影 10磁敏感伪影 伪影与各参数的关系一、小体素可减少伪影体素是指每个成像单元的大小,体素=(FOV/矩阵)X层厚小体素不能抑制金属本身的磁敏感伪影,但可以提高金属周围变形组织的空间分辨率,减少周围自由水扩散运动造成的信号丢失,减轻伪影干扰小体素可通过增大矩阵、缩小FOV及减小层厚;11磁敏感伪影 256256((0.9x0.9x5.00.9x0.9x5.0)) 448448((0.5x0.5x5.00.5x0.5x5.0))12磁敏感伪影 ►►FOV:400-22013磁敏感伪影 ►►层厚:5mm—3mm14磁敏感伪影 ►►注意:过小FOV易发生卷褶伪影,薄层厚使图像信噪比SNR降低,大矩阵增加了扫描时间。

►►临床应用发现:增大矩阵对磁敏感伪影的抑制效果较满意,而缩小FOV和减小层厚对抑制磁敏感伪影的效果不理想15磁敏感伪影 ►►二、TE►►随TE延长而磁敏感伪影加重梯度回拨序列更为明显►►这是与组织周围自由水的布朗运动有关,由于SE序列的180°重聚脉冲只能纠正主磁场不均匀造成的T2*衰减,而不能纠正自由水分子因布朗运动造成的失相位效应,随着TE延长,布朗运动越明显,磁敏感伪影越重►►而GRE序列同时有主磁场不均匀和质子布朗运动的双重影响,伪影更明显►►T2WI或T2*WI的磁敏感伪影较T1WI明显16磁敏感伪影 ►►并行采集技术:主要利用多组阵列线圈,通过减小线圈的体积和敏感的容积来改善MR影像的信噪比,这样可有效地减小检测到噪声的幅度,噪音可显著降低,信噪比得到明显改善同时并行采集技术可缩短TE,从而达到减轻磁化率伪影的目的17磁敏感伪影 ►►头颅DWI18磁敏感伪影 三、重复采集次数►►重复采集次数可提高组织信噪比,间接减轻体素内信号的丢失,可抑制磁敏感伪影,但效果不是很明显19磁敏感伪影 20磁敏感伪影 四、采集带宽►► 每一个每一个MRMR的回波信号将填充的回波信号将填充K K空间的一条相位空间的一条相位编码线,实际采集中,一个回波信号或称相位编码编码线,实际采集中,一个回波信号或称相位编码线并非连续采集的,而是在回波形成的过程中,并非连续采集的,而是在回波形成的过程中,在不同时间点进行采集的,当然这些时间点的间隔非不同时间点进行采集的,当然这些时间点的间隔非常短。

常短►► 每个回波的采样点的多少决定了图像在频率编每个回波的采样点的多少决定了图像在频率编码方向的点阵大小采样点数越多,采集时间一个码方向的点阵大小采样点数越多,采集时间一个回波所需时间越长采集带宽是指单位时间内能够回波所需时间越长采集带宽是指单位时间内能够采集的采样点数采集带宽实际上与频率编码梯度采集的采样点数采集带宽实际上与频率编码梯度的频率带宽一致的采集带宽越宽,梯度场的强度的频率带宽一致的采集带宽越宽,梯度场的强度增加►► 由于采集带宽增加,回波畸变程度较轻,可以减由于采集带宽增加,回波畸变程度较轻,可以减轻磁敏感伪影轻磁敏感伪影, , 但信噪比降低但信噪比降低21磁敏感伪影 磁化率伪影的对策:►►1 1、有金属植入物者可考虑尽量在较低场强的、有金属植入物者可考虑尽量在较低场强的MRIMRI机上进行检机上进行检查;查;►►2 2、除去受检者体内或体表的金属异物除去受检者体内或体表的金属异物►►3 3、用、用SESE类序列取代类序列取代GREGRE类序列或类序列或EPIEPI序列;序列;►►4 4、缩短、缩短TETE,在,在EPIEPI序列可采用并行采集技术来缩短序列可采用并行采集技术来缩短TETE,从而,从而达到减轻磁化率伪影的目的;达到减轻磁化率伪影的目的;►►5 5、增加矩阵,增加带宽;、增加矩阵,增加带宽;►►6 6、特殊检查技术如刀锋技术;、特殊检查技术如刀锋技术;►►7 7、做好匀场,场强越均匀,磁化率伪影越轻;、做好匀场,场强越均匀,磁化率伪影越轻;►►8 8、减小磁化率差别,如口服低剂量顺磁性对比剂可减少肠、减小磁化率差别,如口服低剂量顺磁性对比剂可减少肠道气体与周围组织间的磁化率伪影;道气体与周围组织间的磁化率伪影; 22磁敏感伪影 刀锋技术K K空间填充轨迹是平行填充与放射状填充相结合,空间填充轨迹是平行填充与放射状填充相结合,平行填充轨迹使平行填充轨迹使k k空间周边区域在较短的采样时间空间周边区域在较短的采样时间内具有较高信号密集度,保证图像的空间分辨力;内具有较高信号密集度,保证图像的空间分辨力;放射状填充轨迹则使放射状填充轨迹则使k k空间中心区域有较多的信号空间中心区域有较多的信号重叠,提高了图像的信噪比并减少了运动伪影。

重叠,提高了图像的信噪比并减少了运动伪影23磁敏感伪影 24磁敏感伪影 减小磁化率差别25磁敏感伪影 。

下载提示
相似文档
正为您匹配相似的精品文档