文档详情

鼻腔软骨肉瘤

cn****1
实名认证
店铺
DOCX
392.13KB
约6页
文档ID:544927199
鼻腔软骨肉瘤_第1页
1/6

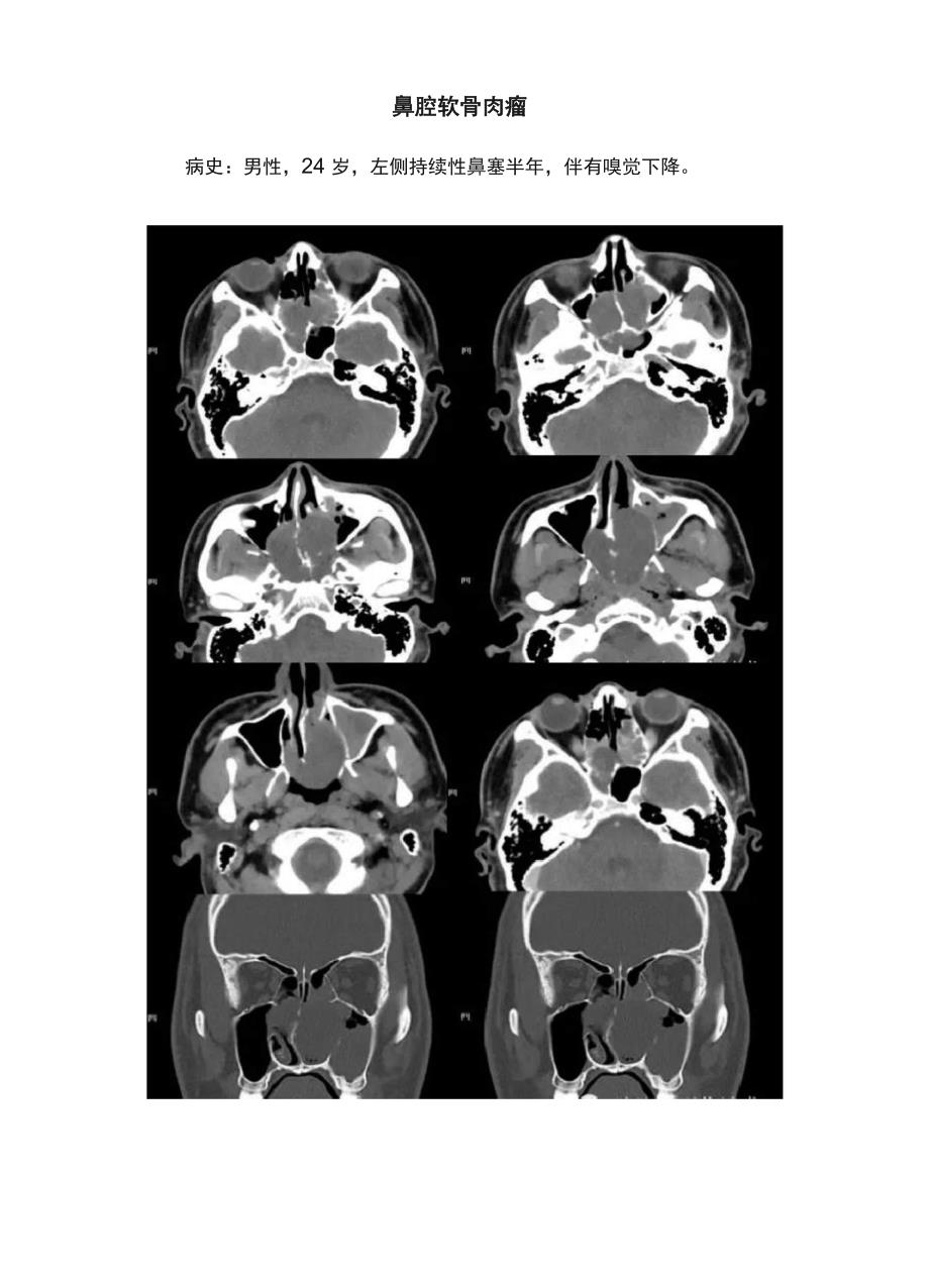
鼻腔软骨肉瘤病史:男性,24 岁,左侧持续性鼻塞半年,伴有嗅觉下降丈体所lib术甬甬雄滞勒:看蚯包柱需业镇3屋加M・幅分童輩样.押务儒爾衣由啟 略鐵・仝取*址下断见iI 粧 危心曲算律吐 詠刻齒隹 孙岸*什住■皐 圭菟 广需PL富M病理会诊结果:鼻腔软骨肉瘤!一、诊断依据软骨肉瘤(chond rosarcoma)是肿瘤细胞具有软骨细胞特征的恶 性肿瘤, 多发生于长骨、骨盆及肋骨, 颅面部较少见, 文献报道发生率<> 可起源于骨、软骨或软组织, 常累及的部位为上颌、下颌及颅底 , 发生 于鼻和眶者少见1、软骨肉瘤的组织学分型颅面部软骨肉瘤绝大多数为原发,仅少数继发于软骨瘤、骨软骨瘤、 软骨黏液纤维瘤、骨纤维异常增殖症、畸形性骨炎等病变分为普通 型(髓内性)、间叶型、去分化型和透明细胞型 4 种类型,其中普通型最 常见间叶型软骨肉瘤:由未分化的间叶细胞和软骨组织构成, 常有明显 血管;起源于骨或骨外结构, 易发生于头颈部, 上、下颌骨是常见骨源部 位,骨外常发生于眼眶和脑膜, 也可起源于鼻黏膜去分化型软骨肉瘤:是指在低度恶性软骨肉瘤周边出现纤维肉瘤、 骨肉瘤和恶性纤维组织细胞瘤等高度间变肉瘤区, 镜下 2种成分界线分 明。

2、临床表现 鼻软骨肉瘤患者主要为进行性鼻阻、流涕、反复鼻衄, 其他包括疼 痛、面部肿胀或麻木、牙痛、嗅觉减退、头痛、突眼、复视、视力下 降、颅神经麻痹等3、典型CT表现软组织肿块内有散在点、结节、环形、斑片状或不定型软骨基质 钙化, 钙化是本病最重要的影像学征象而间叶型软骨肉瘤的钙化形态 更小,密度更淡鼻软骨肉瘤常伴邻近骨质侵蚀或破坏,易侵犯周围结构4鼻眶部普通型软骨肉瘤MRI表现T1WI上多表现为低或等信号T2WI多表现为高信号但信号不均 匀瘤体内散在形态及数量不一的低信号区大致对应CT上所见的软骨 基质钙化增强后多数病例显示轻到中度不均匀强化, 典型者表现为边 缘及间隔明显强化,而内部强化较轻或不强化,外观呈斑驳状或蜂窝状,相应的组织学上显示边缘和间隔由纤维血管构成 ,而内部主要由软骨、 黏液或坏死组织构成5、鼻眶部间叶型软骨肉瘤MRI报道少见,T1WI常表现为低或等信号T2W I多为等信号软骨基 质的钙化常难以显示;增强后呈弥漫性均匀或不均匀的高度强化 ,也缺 乏典型的边缘和间隔强化文献报道部分间叶型软骨肉瘤在MRI上可 显示蛇形流空的血管影,对应组织学上的小细胞区和夹杂在软骨组织 中的血管外皮瘤样区征象。

与普通型软骨肉瘤比较, 间叶型软骨肉瘤的 钙化细小,T2WI多呈等信号,强化更显著与CT比较,MRI能更清晰 准确地显示肿瘤大小、形态及侵犯的范围, 也可清楚显示病变周围的伴 发改变MRI和CT联合诊断软骨基质钙化是诊断本病最重要征象, 而 CT 能直观、准确地显 示钙化的形态和数量, 因此 CT 是诊断本病最重要的检查方法边缘及 间隔强化的典型MRI表现,也能提示普通型软骨肉瘤的诊断但需结合 CT 所见;而 MRI 的价值在于能更准确地显示肿瘤侵犯的范围,尤其对颅 底、视神经等重要结构显示较 CT 更可靠, 是指导手术治疗和评估预后 的最重要检查方法;MRI也是监测肿瘤复发的重要影像检查方法尤其对 术后CT未显示明确钙化,但又出现临床症状的患者价值更大二、鉴别诊断 鼻软骨肉瘤需与癌、嗅神经母细胞瘤、骨肉瘤等鉴别1、 癌:鼻部常见的恶性肿瘤, 多见于中老年人,典型表现为不规则 软组织肿块伴明显骨质破坏, 钙化少见,即使出现钙化,多数形态也不规 则,常位于瘤中央,MR T1W I和T2W I多表现为中等信号呈不均匀强 化2、 嗅神经母细胞瘤:起源于鼻腔嗅上皮神经嵴 ,多发生于鼻腔上 部、筛窦顶,表现为形态不规则软组织肿块,仅少数伴有不定型钙化。

3、鼻部骨肉瘤:多发生于上颌牙槽突, 骨质破坏更显著,常伴邻近 骨质硬化, 绝大多数可见棉絮或放射状瘤骨三、预后鼻部软骨肉瘤的预后 :软骨肉瘤生长较缓慢 , 转移也出现较晚,肺是 最常见的转移部位患者的预后决定于手术切除范围和组织学分化程 度,5年生存率达66%〜77%术后应定期随访,CT和MRI是重要 的随访手段来源:头颈部医学影像论坛。

下载提示
相似文档
正为您匹配相似的精品文档